Struttura del fegato
La struttura del fegato è complessa. Al di sotto del rivestimento peritoneale, costituito da mesotelio e da uno strato sottomesoteliale fortemente aderente alla superficie epatica, il fegato è ricoperto da un denso strato di tessuto connettivo collagene con rare fibre elastiche.
Questo strato di tessuto connettivo in cui decorrono vasi sanguiferi, linfatici e nervi costituisce una vera e propria capsula fibrosa strettamente legata al parenchima sottostante nel quale si addentra con brevi e robusti setti. In corrispondenza dell’ilo del fegato la capsula fibrosa si ispessisce e penetra all’interno dell’organo, accompagnando le ramificazioni dei vasi, dei condotti biliari e dei nervi e contribuendo a delimitare aree più piccole e circoscritte di parenchima epatico, di forma grossolanamente poligonale, definite lobuli epatici. La capsula prende il nome di capsula fibrosa perivascolare di Glisson.
I lobuli epatici quando sono ricostruiti nelle tre dimensioni presentano la forma di piramidi poligonali ad apice tronco o di prismi, del diametro di circa 1 mm e dell’altezza di circa 1,5-2 mm. Essi vengono comunemente considerati come le unità strutturali del fegato (lobuli classici).
Ogni lobulo risulta costituito da numerose lamine cellulari tra loro anastomizzate e ampiamente perforate, delimitanti un sistema labirintico di spazi irregolari in cui è contenuta una rete capillare di vasi sanguiferi a decorso tortuoso (detti sinusoidi epatici). Nel lobulo classico le lamine cellulari e i capillari presentano una disposizione radiale; dalla periferia del lobulo essi convergono verso il suo centro. L’asse del lobulo epatico è occupato da un vaso venoso a parete sottile, la vena centrolobulare, in cui sboccano tutti i sinusoidi contenuti nel lobulo epatico. La parete della vena centrolobulare appare perciò, nelle sezioni, caratteristicamente cribrata. Essa è costituita dall’endotelio circondato da uno strato di connettivo fibroso. Si tratta perciò di un vaso a parete rigida anche perché il connettivo della parete venosa continua nello stroma del lobulo. Le zone dove tre o più lobuli adiacenti vengono tra loro a contatto assumono un aspetto irregolarmente stellato e vengono indicate con il termine di spazi portali (o portobiliari) (di Kiernan). In questi spazi il connettivo perilobulare solitamente si addensa a formare un involucro alle diramazioni interlobulari della vena porta, dell’arteria epatica e del condotto biliare, ai vasi linfatici e ai nervi. Il sangue che circola nelle ramificazioni della vena porta e dell’arteria epatica viene convogliato dalla periferia di ogni lobulo epatico nella rete dei sinusoidi. È questa una rete mirabile venosa che trova posto tra le lamine di cellule epatiche e collega i vasi interlobulari alla vena centrolobulare. Le vene centrolobulari confluiscono nelle vene sottolobulari tributarie a loro volta delle vene epatiche che convogliano il sangue nella vena cava inferiore. Pertanto le ramificazioni dell’arteria epatica e della vena porta, distinte e affiancate sino alla periferia del lobulo epatico (vasi peri- e interlobulari), confluiscono nello stesso sistema di drenaggio allorquando si immettono nella rete dei sinusoidi intralobulari. In altri termini, il sangue che circola nei sinusoidi epatici è arterovenoso.
Al contrario, la bile elaborata dagli epatociti si riversa dentro spazi intercellulari scavati tra le pareti di cellule epatiche contigue (capillari biliari). Questi spazi intercellulari nel loro insieme costituiscono, all’interno del lobulo epatico, una rete canalicolare attraverso la quale la bile viene convogliata in condotti escretori provvisti di parete propria presenti negli spazi portali (canalicoli biliari).
Non esistono vasi linfatici all’interno dei lobuli epatici. Capillari linfatici provvisti di parete propria si trovano invece negli spazi portali. È possibile che i fluidi interstiziali nell’ambito dei lobuli vengano convogliati negli spazi portali dove imboccano la via del sistema linfatico.
Il lobulo classico con l’asse percorso dalla vena centrolobulare e delimitato da una trama periferica pressoché continua di tessuto connettivo non è così evidente nell’uomo, al contrario di altri mammiferi. Perciò, a quello del lobulo classico si sono affiancati altri modelli di organizzazione del parenchima epatico, quali quello del lobulo portale e dell’acino.
L’unità (o lobulo portale) è un territorio parenchimale il cui centro è occupato da un canalicolo biliare. Questo è contenuto nello spazio portobiliare e raccoglie la bile secreta dall’area circostante di parenchima epatico. I limiti del lobulo portale si possono ottenere congiungendo con una linea immaginaria tre vene centrolobulari. Questo modello di lobulo epatico (che così tracciato assume un aspetto grossolanamente triangolare), pone l’accento sulla funzione esocrina del fegato; in esso il sangue scorre in direzione centrifuga e cioè dal centro (corrispodente allo spazio portale) verso la periferia (rappresentata dalle vene centrolobulari). La bile invece ha decorso centripeto, scorrendo dalla periferia verso lo spazio portale.
La parte più piccola di parenchima epatico capace di autonomia funzionale (e cioè la vera unità morfologica e funzionale del fegato) non può però essere rappresentata né dal lobulo classico né da quello portale. Facendo riferimento all’organizzazione vascolare, è stato introdotto il concetto di acino epatico. Questo comprende un’area di parenchima epatico, di forma grossolanamente quadrangolare, irrorata da un ramo terminale della vena porta e dell’arteria epatica e drenata da un canalicolo biliare. L’acino epatico non è, da un punto di vista anatomico, facilmente delimitabile. Le dimensioni dell’acino dipendono infatti dal calibro del ramo portale terminale. I territori di parenchima epatico irrorati da rami vascolari afferenti di tipo terminale si dicono di acini semplici. Si denominano acini complessi territori parenchimali, più estesi, che ricevono sangue da rami portali preterminali.
La rete capillare sanguigna del lobulo è una tipica rete mirabile venosa in quanto interposta tra il sistema della vena porta con le sue ramificazioni perilobulari e interlobulari e quello delle vene centrolobulari a loro volta tributarie delle vene epatiche.
Nella rete mirabile venosa sboccano anche i rami terminali perilobulari e interlobulari dell’arteria epatica.
Piccoli cuscinetti muscolari di tipo sfinterico sarebbero presenti nelle ramificazioni terminali dell’arteria epatica e della vena porta, dove queste si aprono nella rete sinusoidale dei lobuli. Questi dispositivi sfinterici, variando la pressione del sangue, contribuirebbero a incrementare o a rallentare il flusso sanguigno al lobulo.
Fegato di cane. Il fegato è la più grossa ghiandola dell’organismo, non è solo un organo di deposito ma è coinvolto nel metabolismo di carboidrati, lipidi, proteine, è inoltre produttore di sali e pigmenti biliari che secerne, come bile, nel duodeno tramite un sistema di dotti. Nel feto ha anche funzione emopoietica.
Il fegato è costituito da lobuli epatici (LE) che visti in sezione appaiono come aree poligonali separate tra di loro da strette fessure con poco connettivo: le fessure interlobulari (Fil). Nel punto di convergenza degli spigoli di più lobuli sono evidenziabili spazi più ampi detti spazi portali (Sp). Al centro dei lobuli è visibile la vena centrolobulare (Vc). (Colorazione Mallory Azan).
Visione d’insieme del parenchima epatico, è analoga alla precedente. Vi si evidenziano gli spazi portali (Sp) con all’interno il condottino bilifero, l’arteria e la vena. Le fessure interlobulari delimitano i lati di lobuli epatici (LE) adiacenti al centro dei quali si reperisce la vena centrolobulare (Vc). (Colorazione Mallory Azan).
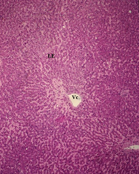
Visione d’insieme del parenchima epatico. È analoga alle immagini precedenti. È evidente la costituzione lobulare (LE) del fegato che in sezione appare come un organo organizzato in piccole aree poligonali separate da sottili fessure che convergono agli spigoli del poligono a formare gli spazi portali. Al centro del lobulo vi è la vena centrolobulare (Vc). (Colorazione ematossilina eosina).
Lo spazio portale (Sp) è il punto di convergenza degli spigoli di tre o più lobuli epatici (LE). In sezione appare come una zona connettivale in cui decorrono l’arteriola (a) (con parete di discreto spessore e piccolo lume) proveniente dall’arteria epatica, la venula (v) (con lume ampio e collassato e parete sottile) derivante dalla vena porta, un condotto bilifero (Cb) (con parete di cellule epiteliali isoprismatiche o batiprismatiche), vasi linfatici e nervi.
L’arteriola e la venula dello spazio portale emettono rami che decorrono nelle fessure interlobulari (Fil) che si dipartono dallo spazio medesimo. Ciascun lobulo è perciò circondato da vasi sanguiferi arteriosi e venosi che poi penetrano nel lobulo stesso aprendosi nella sua rete capillare.
Nell’immagine è visibile una fessura interlobulare (Fil) particolarmente dilatata dai procedimenti di allestimento del preparato: in essa sono visibili i vasi tagliati longitudinalmente.(Colorazione Mallory Azan).
Il sangue pervenuto al parenchima epatico tramite le arteriole e le venule si diffonde nella rete capillare, formata da sinusoidi, per convergere al centro del lobulo epatico nella vena centrolobulare che fuoriesce dal lobulo stesso mettendo capo alla vena sottolobulare (sono le radici delle vene epatiche che sboccano poi nella vena cava inferiore). La parete della vena centrolobulare appare discontinua per la presenza dello sbocco dei sinusoidi (s). Attorno ad essa è ben evidente la disposizione a raggiera degli epatociti (ep) in cui sono riconoscibili i nuclei. (Colorazione Mallory Azan).
Fonte: Istituto di anatomia umana normale università degli studi di Bologna
Indice
– Anatomia
– Immagini
– Funzioni
– Sede
– Forma e dimensioni
– Facce del fegato
– Mezzi di fissità
– Vascolarizzazione e innervazione
Articolo creato il 22 febbraio 2012.
Ultima modifica: vedi sotto il titolo.







