Struttura del labbro
Le labbra sono rivestite esternamente da cute, internamente da mucosa. Il passaggio dal rivestimento cutaneo a quello mucoso avviene in corrispondenza del margine libero (o parte rosea) delle labbra. Tra i due strati limitanti è compreso un insieme di muscoli striati che conferiscono grande mobilità alle labbra.
La cute presenta un sottile epitelio pavimentoso stratificato e corneificato con follicoli piliferi, ghiandole sebacee e ghiandole sudoripare. Le papille dermiche sono appiattite. Nel derma, che aderisce fortemente ai muscoli sottostanti, si trovano fibre elastiche e fibre muscolari striate dei muscoli pellicciai.
A livello della parte rosea delle labbra l’epitelio è ancora sottile e presenta aspetti di corneificazione estremamente irregolari. Le papille del derma diventano numerose e alte; i loro capillari traspaiono attraverso l’epitelio e determinano il colore roseo della zona. Mancano peli e ghiandole sudoripare, mentre si reperiscono ghiandole sebacee isolate.
Il passaggio tra la parte rosea delle labbra e la tonaca mucosa è graduale. L’epitelio si fa più alto ed è pavimentoso stratificato non corneificato; la lamina propria forma papille alte.
Tra la lamina propria e il piano dei muscoli striati si trova uno strato di tessuto connettivo lasso nel quale sono accolte le ghiandole labiali. Queste sono ghiandole tubuloacinose ramificate a secrezione mista. I loro condotti escretori si aprono nel vestibolo della bocca. Le ghiandole labiali sono meno addensate sulla linea mediana e in vicinanza delle commessure. Sono apprezzabili con l’esplorazione linguale o con la palpazione, come rilievi tondeggianti e mobili. Il loro secreto contribuisce, insieme a quello della ghiandola parotide, a lubrificare il vestibolo della bocca favorendo la mobilità delle labbra e delle guance sulle arcate gengivodentali.
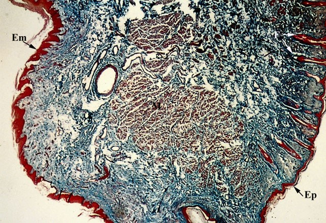
Sezione di labbro umano.
Il labbro è costituito da tre strati: quello superficiale è dato dalla cute, quello intermedio dallo strato muscolare e quello profondo dalla tonaca mucosa.
La cute è formata da epidermide e derma. L’epidermide (Ep) è formata da un epitelio pavimentoso pluristratificato, mentre il derma è ricchissimo di fibre elastiche.
Lo strato muscolare (M) è formato in prevalenza dal muscolo orbicolare della bocca.
La tonaca mucosa è sottile ed è rivestita da un epitelio pavimentoso pluristratificato (Em).
Particolare ingrandito dell’immagine precedente.
L’immagine mostra il lato cutaneo del labbro. Lo strato corneo dell’epidermide (Ep) risulta in via di sfaldamento.
Nella cute si notano numerosi follicoli piliferi con annesse ghiandole sebacee e sudoripare.
Da notare come la cute sia strettamente aderente al piano muscolare (M).
Particolare ingrandito dell’immagine di labbro che mostra la mucosa labiale.
Al di sotto dell’epitelio pavimentoso pluristratificato (Em), che non presenta segni di corneificazione, la tonaca propria connettivale densa si solleva in papille.
Le ghiandole labiali (G) sono accolte, invece, in uno strato connettivale lasso più profondo. Sono ghiandole tubulo-acinose ramificate a secrezione mista e possono a volte spingersi fino allo strato muscolare (M).
Epidermide (umana)(Ep) che riveste il labbro (colorazione ematossilina-eosina). E’ molto evidente lo strato papillare del derma (Dp) che si applica subito sotto l’epidermide in cui si notano i vari strati cellulari dell’epitelio pavimentoso stratificato corneificato.
Fonte: Istituto di anatomia umana normale università degli studi di Bologna
Articolo creato l’1 marzo 2012.
Ultimo aggiornamento: vedi sotto il titolo.






