Struttura della ghiandola salivare maggiore
Le tre ghiandole salivari maggiori (parotidi, sottomandibolari e sottolinguali) sono tubuloacinose composte. La ghiandola parotide ha secrezione sierosa; il suo elaborato è cioè fluido. Le ghiandole sottomandibolare e sottolinguale hanno secrezione mista, sierosa e mucosa, dotata quindi di maggiore viscosità. La ghiandola sottolinguale è prevalentemente mucosa, la sottomandibolare è prevalentemente sierosa.
Il secreto di tipo sieroso è elaborato da unità secernenti (adenomeri) in forma di acini o di semilune. La secrezione di tipo mucoso viene elaborata da adenomeri a forma di tubuli. Il secreto sieroso è fluido e ricco in acqua; i canali che portano questo secreto nella cavità buccale non debbono essere quindi ampi; una grande parte dell’acqua viene riassorbita a livello del sistema dei dotti escretori che è di conseguenza molto sviluppato nelle ghiandole sierose pure (parotide). I dotti escretori presentano uno sviluppo minore nelle ghiandole a secrezione mista prevalentemente sierosa (sottomandibolare) e ancor più nelle ghiandole a secrezione mista prevalentemente mucosa (sottolinguale).
Gli acini, così come le semilune, sono formati da cellule sierose che presentano i caratteri strutturali di elementi capaci di svolgere attivi processi di sintesi e secrezione proteica. Le cellule sierose hanno infatti un reticolo endoplasmatico granulare molto abbondante (soprattutto intorno al nucleo e nella parte più profonda delle cellule), rappresentato da cisterne appiattite e parallele una all’altra, costellate da numerosi poliribosomi. Nel citoplasma delle cellule dell’acino si trovano mitocondri e corpi densi di natura lisosomiale. Il nucleo è rotondo e si trova all’incirca nella parte centrale del corpo cellulare. Il complesso di Golgi è ampio e occupa la sede sopranucleare; alla superficie concava di ogni campo golgiano si osservano granuli di prosecreto in formazione; questi, tra il complesso di Golgi e l’apice della cellula, divengono gradualmente più densi (più maturi). Il processo di secrezione ha luogo dopo che la membrana avvolgente il granulo di secreto entra in contatto con la membrana plasmatica dell’apice della cellula e si fonde con essa, per dissolversi infine, lasciando libero il contenuto del granulo nel lume dell’acino. Questo processo viene anche indicato con il termine esocitosi. Quadri di chiusura generalmente bene sviluppati impediscono che il secreto refluisca negli spazi intercellulari.
Più cellule sierose formano dunque l’acino o la semiluna. Ciascuna cellula ha approssimativamente la forma di una piramide tronca: la base di questa poggia sulla membrana basale e le superfici laterali sono molto ravvicinate tra loro, delimitando uno spazio intercellulare; l’apice tronco di ogni cellula delimita, con quello delle cellule vicine, il lume dell’acino. Il lume dell’acino è alquanto ristretto e il secreto lo abbandona in seguito alla contrazione di cellule muscolari lisce, dette cellule mioepiteliali, localizzate tra la faccia profonda degli elementi secernenti dell’acino e la membrana basale. Le cellule mioepiteliali abbracciano con sottili prolungamenti l’acino stesso e risultano molto ricche in filamenti di actina e miosina. Negli acini della parotide esse non sono mai molto evidenti.
Le cellule dei tubuli a secrezione mucosa presentano anch’esse cisterne del reticolo endoplasmatico granulare nella parte basale del citoplasma; in questa stessa regione si trova il nucleo che è allungato, con l’asse maggiore parallelo alla base della cellula. Sui lati e sopra il nucleo si trova un voluminoso complesso di Golgi dal quale hanno origine grossi granuli di muco. Questi occupano tutta la porzione sopranucleare del citoplasma e risultano spesso confluenti. Il contenuto dei granuli di secreto viene rilasciato all’apice della cellula con un processo di esocitosi simile a quello descritto per le cellule sierose. Anche tra le cellule a muco si trovano quadri di chiusura e desmosomi che bloccano lo spazio intercellulare verso il lume.
Il lume dei tubuli delimitato dalle cellule mucose è ampio; il secreto è infatti denso, viscoso e defluisce più difficilmente.
Nelle ghiandole miste, cioè a secrezione siero-mucosa (sottomandibolare e sottolinguale) i tubuli mucosi sono chiusi, alla loro estremità cieca, dalle semilune sierose. Si ritiene che la secrezione sierosa delle cellule che formano le semilune faciliti il drenaggio del secreto mucoso dai tubuli.
Ciascun acino sieroso e ciascun tubulo mucoso prosegue in un condotto che si unisce a quelli vicini formando dotti di calibro maggiore; si giunge così a un dotto principale che emerge dalla ghiandola e ne versa il secreto nella bocca.
I dotti escretori vengono distinti in intralobulari e interlobulari, secondo che decorrano all’interno dei lobuli ghiandolari oppure nello stroma interlobulare.
Immagini
Ghiandola parotide di uomo. (Colorazione Mallory Azan). È una ghiandola sierosa pura perciò gli adenomeri sono costituiti da acini sierosi (As). Le cellule di tali unità funzionali appaiono alte, colorate, con nuclei ben evidenti, rotondeggianti, situati nella porzione basale delle cellule stesse. Nella parotide sono particolarmente sviluppati i condotti salivari che sono notevolmente lunghi e ramificati (Cs). Con l’invecchiamento il parenchima ghiandolare va incontro ad atrofia ed aumenta la componente adiposa. Il condotto escretore principale (dotto di Stenone) sfocia nel vestibolo della bocca sulla parte interna della guancia di fronte al secondo molare superiore.
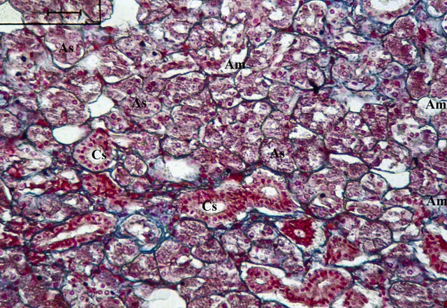
Ghiandola sottomandibolare di uomo. (Colorazione Mallory Azan). È una ghiandola mista con netta prevalenza degli adenomeri sierosi (As) sulla componente mucosa (Am). Alcuni lobuli pertanto appaiono completamente sierosi e sono particolarmente evidenti i condotti salivari (Cs) con il tipico epitelio cubico striato alla base (epitelio bacillare) mentre altri lobuli, molto rari, appaiono misti. Il condotto escretore principale sfocia a livello della cavità buccale propriamente detta sul pavimento della bocca in corrispondenza dell’apice della papilla sottolinguale ai lati del frenulo.
Ghiandola sottolinguale di uomo. È la più piccola delle ghiandole salivari maggiori o extramurali, è di tipo misto con prevalenza della componente mucosa. Il parenchima ghiandolare (Pgh) si presenta suddiviso in lobuli da setti connettivali (sc). I lobuli sono mucosi puri frammisti a lobuli misti con condotti preterminali (Cpt) mucosi e semilune sierose del Giannuzzi (sG). Il sistema dei condotti salivari (Cs) è assai ridotto. Il condotto escretore principale sfocia nella cavità buccale propriamente detta: nel pavimento della bocca a livello delle pieghe fimbriate. (Colorazione Mallory Azan).





